Gingivitis: Symptoms, Causes, and Treatment Options

Gingivitis: Symptoms, Causes, and Treatment Options

  • February 10, 2025

Gingivitis is one of the most common dental issues affecting millions worldwide. It's a mild form of gum disease that, if left untreated, may progress to more serious conditions like periodontitis. At Dentist 111, we aim to equip our patients with the knowledge they need to sustain excellent oral health. This comprehensive blog will explore the symptoms, causes, and treatment options for gingivitis and answer some frequently asked questions.

What is Gingivitis?

Gingivitis is a condition characterized by gum inflammation caused by plaque accumulation. Plaque is a thin, adhesive film of bacteria that forms on teeth. This bacterial buildup can irritate the gums, making them red, swollen, and prone to bleeding, especially when brushing or flossing. Gingivitis is an early-stage gum disease that should be taken seriously, as it can develop into more severe dental issues if not addressed.

The primary cause of gingivitis is plaque formation. Plaque develops when bacteria in the mouth mix with saliva and food debris, creating a sticky film that clings to the teeth and gums. If not eliminated with consistent brushing and flossing, plaque can solidify into tartar (also called calculus), which provides an even better environment for harmful bacteria to thrive. This leads to gum irritation, inflammation, and the early stages of gum disease.

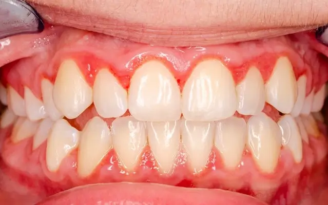
Symptoms of Gingivitis

Recognizing the symptoms of gingivitis early can help you take action before it worsens. Here are the most common signs to watch out for:

  • Swollen or Puffy Gums: Healthy gums are firm and pale pink. If your gums appear red, swollen, or puffy, it could indicate gingivitis.
  • Bleeding Gums: A common and easily noticeable symptom is bleeding while brushing or flossing.
  • Lousy Breath: Persistent bad breath (halitosis) that doesn't persist despite brushing can indicate gum disease.
  • Receding Gums: Gums that recede from the teeth, causing them to look longer, indicate a potential issue.
  • Tender Gums: Gums that feel sore or tender to the touch may be inflamed.
  • Pus Between Teeth: In advanced cases, you may notice pus or abscesses between your teeth and gums.
Symptoms of Gingivitis

If you experience any of these symptoms, it's time to visit Dentist 111 for a professional evaluation.

Causes of Gingivitis

Understanding the causes of gingivitis is essential for prevention. Here are the key factors that contribute to this condition:

  • Poor Oral Hygiene: Neglecting regular brushing and flossing causes plaque accumulation, which can result in gum inflammation.
  • Smoking and Tobacco Use: Tobacco products weaken the immune system, making it harder to fight off gum infections.
  • Hormonal Changes: Pregnancy, menstruation, and menopause can make gums more sensitive and prone to gingivitis.
  • Medications: Certain drugs, such as anticonvulsants and calcium channel blockers, can cause gum overgrowth, increasing the risk of gingivitis.
  • Chronic Illnesses: Conditions like diabetes, cancer, and HIV compromise the immune system, making it harder to maintain healthy gums.
  • Poor Nutrition: A diet deficient in vital vitamins and minerals, especially vitamin C, can weaken gum tissue.

Addressing these causes can significantly reduce your risk of developing gingivitis.

Treatment Options for Gingivitis

The positive news is that gingivitis can be treated, especially when caught early. Here are the most effective treatment options:

  • Professional Dental Cleaning: The initial step in managing gingivitis is a thorough dental cleaning by a professional. At Dentist 111, our team uses specialized tools to remove plaque and tartar buildup, a process known as scaling and root planing.
  • Improved Oral Hygiene: Your dentist will provide instructions on effective brushing and flossing methods. Furthermore, rinsing with an antimicrobial mouthwash can help minimize oral bacteria.
  • Lifestyle Changes: Stopping smoking, following a well-balanced diet, and managing stress can improve oral health.
  • Medications: Sometimes, your dentist may prescribe antibacterial mouthwashes or antibiotics to control infection.
  • Regular Dental Checkups: Routine visits to Dentist 111 ensure that any signs of gingivitis are caught early and treated promptly.
  • Home Remedies: While not a substitute for professional care, home remedies like saltwater rinses and oil pulling can provide temporary relief.

How to Prevent Gingivitis

Prevention is always better than cure. Here are six tips to keep gingivitis at bay:

  • Brush Twice Daily: : Brush your teeth thoroughly using a soft-bristled toothbrush and fluoride toothpaste.
  • Floss Daily: Flossing helps eliminate plaque and food debris between teeth.
  • Use Mouthwash: Using an antimicrobial mouthwash can aid in decreasing bacteria in your mouth.
  • Stay Hydrated: Consuming water assists in rinsing away food debris and bacteria.
  • Eat a Balanced Diet: Include plenty of fruits, vegetables, and dairy products.
  • Visit Your Dentist Regularly: Schedule checkups and cleanings at Dentist 111 every six months.Visit Your Dentist Regularly: Schedule checkups and cleanings at Dentist 111 every six months.
How to Prevent Gingivitis

Why Choose Dentist 111 for Gingivitis Treatment?

At Dentist 111, we are committed to providing top-notch dental care. Here's why we're the best choice for treating and preventing gingivitis:

Expert Team

Our skilled dentists and hygienists have years of experience in treating gum disease.

Advanced Technology

Our state-of-the-art equipment ensures accurate diagnoses and effective treatments.

Personalized Care

We personalize our treatment plans to align with your specific needs and goals.

Comfortable Environment

Our clinic is thoughtfully designed to create a comfortable and relaxing experience.

Affordable Services

We offer competitive pricing and flexible payment options to make dental care accessible.

Patient Education

We are committed to giving our patients the knowledge they need to maintain optimal oral health.

FAQs About Laser Dentistry

No, gingivitis requires proper treatment and improved oral hygiene. Without intervention, it can progress to more severe gum disease.

While the bacteria causing gingivitis can be spread through saliva, the condition is not contagious.

Gingivitis can be reversed within a few weeks with proper care. Nevertheless, practising proper oral hygiene is crucial to prevent it from returning.

Yes, children can develop gingivitis, especially if they maintain inadequate oral hygiene or consume a diet rich in sugar.

If untreated, gingivitis may advance to periodontitis, potentially causing tooth loss.

Yes, stress compromises the immune system, reducing the body's ability to combat gum infections.

Research shows gum disease is linked to heart disease, diabetes, and respiratory issues.

While natural remedies like saltwater rinses can help, they should not replace professional dental care.

If you have gingivitis, your dentist may recommend more frequent visits until the condition is under control.

Conclusion

Gingivitis is a common but preventable condition that requires prompt attention. By understanding gingivitis symptoms, causes, and treatment options, you can actively take measures to safeguard your oral health. At Dentist 111, we're here to help you every step of the way. Whether you need a routine cleaning or specialized treatment, our team delivers exceptional care.

Don't wait until it's too late—schedule your appointment with Dentist 111 today and take the first step toward a healthier, brighter smile!

Related Post

Emergency Dentist
Can an Emergency Dentist Fix a Lost Filling or Crown? What You Need to Know

A lost filling or crown can cause pain, sensitivity, and further tooth damage. Learn how an emergency dentist can quickly repair or replace it, what steps to take right away, and why fast treatment is essential.

The Benefits of Laser Dentistry: Minimally Invasive Treatments
The Benefits of Laser Dentistry: Minimally Invasive Treatments

Laser technology has revolutionized modern dentistry, offering patients a safer, faster, and more comfortable experience. At Dentist 111, we leverage the latest advancements in laser dentistry to provide minimally

Book my appointment on WhatsApp